Urinary: Incontinence Symptoms and Treatment
Urinary Quicklinks
Incontinence is common in dogs. It is a complex process where the brain coordinates the sensation that the bladder is full with the knowledge to know where your dog is allowed to urinate with the coordination of the muscles that controls urination in the brain (PMC center).
In female spayed dogs the most common cause is USMI, which is a weakening of the muscle in the urethra (leads from the bladder to the outside of the body) that shuts off the flow of urine. In other dogs, the cause can be as simple as a bladder infection which may have gotten worse and even led to the formation of blockages in the form of bladder stones.
In younger female dogs (and some males) a condition called ectopic ureters is the most common cause. This is a condition where there is a problem where the tube that leads from the kidney - the ureters - doesn't attach correctly to the bladder.
Other causes are less common. These include thickening of the bladder wall, structural problem where the ureters ( lead from the kidneys to the bladder), enters the bladder (ectopic ureters), neoplasia (tumor or unusual cell growth) and some form of paralysis in the urinary system.
Breed Affected by Urinary Incontinence:
While this could be a problem in all breeds, it is most often seen in:
- English Bulldog
- Newfoundland
- Siberian Husky
- Retrievers (Labrador and Golden)
First Signs of Urinary Incontinence in Dogs
The first sign of an incontinence problem is obvious, a change in the way your dog urinates. This can include urine leaking at night, dribbling urine or you notice that your do is in pain when urinating.
You may also notice related problems such as excessive thirst, odor from urine staying in your dog's cut or inflammation where the urine exits the body (vulva).
Diagnosis of Urinary Incontinence in Dogs
Your veterinarian will do a physical examination and a test of the urine (urinalysis) to see if any problems can be detected. Urinalysis will detect bacterial infection, fungal infection, and an unusual amount of crystals, the building blocks of bladder stones. X-rays and ultrasound can also provide a look at the urinary system as a way to check for blockages.
Your veterinarian will also look at the composition of the urine such as the percentage of urea. Urine is the body's way of fighting infection and the formation of stones. When the urine doesn't have the proper composition or PH, then problems can set in.
How Urinary Incontinence in Dogs is Treated
Urinary Incontinence in Puppies and Younger Dogs
Canine Ectopic Ureters (EU) is the most common cause of urinary incontinence in dogs that are younger. It is a inherited problem where the connection between the ureters and the bladder (the tube that leads from the Kidneys), is not formed correctly. It is usually seen in females and is rare in males.
This condition is diagnosed by injecting dye into the urethra (leads from bladder to outside the body) and then using x-rays to analyze the health of the area. Ultrasound and possibly endoscopy may be used as well.
Treatment is to use surgery to correct the deformity. The rate of success is between 50 % - 75%. A new less invasive procedure uses a laser that is inserted through the urethra. It has the same rate of success, although the procedure is somewhat new.
USMI: As mentioned,
this is the most common cause of urinary incontinence in dogs. To treat
this condition your veterinarian will first try using medications to
help your dog strengthen the sphincter muscles. Treatment is effective
in most dogs with minor side effects. Therapy will be with estrogen or
newer types of drugs. You can also help your dog achieve some temporary
relief with a new natural homeopathic remedy that was just developed.
It is called PetAlive
Better-Bladder Control and it is made to temporarily
relieve incontinence and strengthen the bladder. If these approaches do
not work, then surgery will be required.

Urinary Incontinence in Dogs
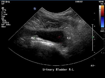
Ultrasound of Dog Bladder Suffering from Urinary Incontinence
Exam also based on use of endoscope. Together confirmed case of Canine Urethral sphincter mechanism incompetence
Source: Sean Stockwell Cornell University School of Veterinary Medicine
Bladder Urine Storage Issues: This condition might look like USMI, but be actually due to stones (see below, also called urolithiasis), paralysis or abnormal cell growth (neoplasia) in the bladder or urethra. Treatment for these condition may require surgery to remove obstructions or tumors plus medications made for the specific condition.
Canine Infection and Canine Bladder Stones - Treatment Approach for Urinary Incontinence in Dogs
Fungal Infection: Fungal infections are usually caused by some other condition in the body such as diabetes mellitus or if your dog is taking medications such as an antibiotic. Once the diabetes is treated or medications are stopped the fungal infection will go away. If it doesn't, there are prescription medications that are very effective at eliminating the problem.
A condition called overflow incontinence exists when the bladder becomes too full because there are blockages that are keeping the urine from exiting the body. When your dog can't urinate correctly, infection causes a narrowing of the urinary system and stones form potential blockages as described below:
Bacterial Infection: When bacteria enters the body from outside, it colonizes in the urethra and moves up to the bladder and if left untreated the kidneys. It is possible to not show symptoms for a long time, allowing the bacteria to colonize and develop. Antibiotics are effective at fighting infection. To prevent infection and to help supplement the antibiotics, consider giving your dog some cranberry juice mixed with food (they tend to not like the flavor) and possibly a homeopathic remedy made to strengthen the urinary system such as UTI-Free Formula for Pet Urinary Tract Infections.
Another tip is to take your dog for more walks. Increased urination will help flush bacteria from the bladder.
Bladder Stones: There are two types of stones that are commonly found in dogs, struvite and oxalate. If your dog has struvite stones, your vet may be able to dissolve the stones with a change to a Prescription Diet. Medications and methods for flushing smaller stones out of the body are available. For oxalate stones and stubborn struvite stones, surgery may be required to remove the stones.
|
|